
⚠️ 声明:本文为医学科普与健康常识分享,不构成诊疗意见,不能替代医生处方与指导。如有异常结果,请务必遵医嘱或咨询专业医生,切勿自行判断或延误复查。
一、 什么是“双肺多发小结节影”?
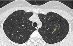
当你拿到胸部 CT 报告,上面写着:
“双肺可见多发小结节影,大小约 2–5mm,边界清晰 / 模糊不等。”
第一反应往往是:“是不是肺癌?”其实,在医生眼里,这样的描述是一个影像现象,不是确诊结果。
二、 什么是“肺小结节”?
定义:肺小结节是指肺内直径小于3厘米的类圆形密度影;
当结节直径 ≤6mm 时,称为“小结节”或“微结节”;
“多发”意味着两侧肺内出现多个这样的影像点。
👉 所以,“双肺多发小结节影”只是说明:
CT 扫描中看到了多个微小阴影,但它们的性质暂时未定。

三、 造成“多发小结节影”的常见原因
四、 医生如何判断“良性”还是“可疑”?
医生不会凭一句“多发结节”就吓你,而是综合以下 5 个特征👇:
🩺 医生解读:
“多数 3–5mm 小结节都是良性的炎症残影。真正需要关注的,是那些‘单侧、毛刺状、在短期复查中长大的’结节。”

五、 “多发”≠“多癌”,CT 只是发现早、不是吓人多
现代高分辨 CT(HRCT)的分辨率极高,能看到0.2mm的结构,
所以检测出的“小结节”越来越多,并不代表肺癌发病率暴增。
统计数据显示:
成年人胸部CT发现小结节的概率约为 20%–50%;
其中超过90%是良性(炎症、纤维化、钙化灶等);
仅不足5% 需要进一步干预或手术。
医生的重点是:
区分哪些需要“观察”,哪些需要“处理”。
六、 复查与随访建议
高危人群包括:
年龄>40岁;
吸烟≥20包年;
有家族肺癌史;
有慢性肺病(COPD、结节病等)。
七、 如果你在体检中发现了“双肺多发小结节影”,怎么办?
不要恐慌:大部分结节是炎症或老病灶。
找呼吸内科或影像科医生看原片:报告文字有时“模糊”,看图更准。
查既往 CT 片:对比是否存在、是否变化。
根据大小和特征安排复查 CT:一般 3–6 个月后。
改善生活方式:戒烟、规律作息、增强免疫。
避免过度辐射检查:不必要的CT太频繁反而得不偿失。
八、 日常防护与健康建议
九、 医学总结
结尾金句:
🫁 “双肺多发小结节影”,在影像学的语言里,不是判决,而是一种提醒。
它让你有机会更早地了解肺的状态,而不是被恐惧绑架。别急着害怕,也别轻易忽视。记录变化、按期复查,就是最科学的安心。